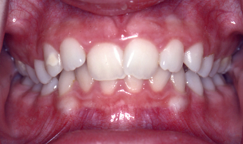
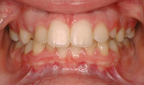
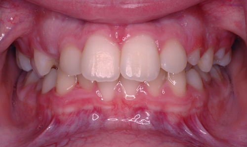
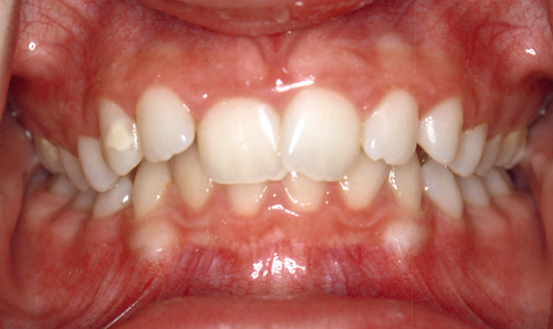
HueMatch is a program that allows you to change the colour balance of an image to match the colours of another reference image. Matching is done by adjusting the histograms of the images. HueMatch is very useful if you have before and after pictures of a clinical case and the colours do not match. If you show such pictures side-by-side, the difference in colour balance is distracting.
